What is Teeth Whitening?

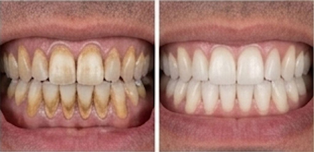
Teeth whitening is a simple and effective cosmetic treatment designed to lighten the natural colour of your teeth and remove stains, giving you a brighter, more confident smile.

At Waterden Dental, we offer professional whitening options that are safer and more effective than over-the-counter kits, using high-quality ingredients and customised approaches for optimal results.

Bright smile after teeth whitening

Our Whitening Solutions

For patients wanting to achieve a whiter, brighter smile, we offer two professional treatment options tailored to your needs and lifestyle.

In-Clinic Teeth Whitening

In-Clinic Whitening

Our in-clinic whitening treatment involves the use of both a specialised lamp and a high-quality hydrogen peroxide bleaching gel. This powerful combination is applied in a single, supervised session to give you noticeably whiter teeth immediately.

At-Home Teeth Whitening

At-Home Whitening

Our at-home whitening treatment offers a flexible solution that fits around your schedule. Following an initial consultation, you receive custom-made trays and professional-grade gel to whiten your teeth effectively at your own convenience.

Why Choose Professional Whitening?

Professional whitening with hydrogen peroxide gel delivers faster, more reliable results compared to high-street products. Our treatments are tailored to your teeth, minimising sensitivity and maximising the whitening effect.

Whether you choose the speed of our in-clinic system with a whitening lamp, or the flexibility of our home trays, you can expect a noticeable transformation in the shade of your smile, boosting your confidence in everyday life.

In-clinic power whitening with lamp & gel
Custom-made trays for at-home convenience
Safe, effective hydrogen peroxide formula

Cookie Preference Centre

When you visit any website, it may store or retrieve information on your browser, mostly in the form of cookies. This information might be about you, your preferences or your device and is mostly used to make the site work as you expect it to. Because we respect your right to privacy, you can choose not to allow some types of cookies.

Click here for more information